Uni Ulm: Corona-Erkennung durch Röntgenstrahlung

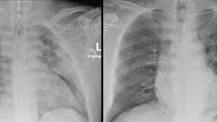
Seit Beginn der Corona-Pandemie werden Bildgebungsverfahren – wie Röntgen- oder CT-Aufnahmen – für die Diagnose von SARS-CoV-2 genutzt. Mithilfe radiologischer Bildgebung kann eine Corona-Infektion sicher erkannt und bewertet werden.

 

Um radiologische Daten von COVID-19 Fällen strukturiert erfassen und verarbeiten zu können, haben die 36 deutschen Universitätskliniken gemeinsam mit dem Deutschen Krebsforschungszentrum, dem Fraunhofer-Institut für Digitale Medizin MEVIS Bremen, der TU Darmstadt und der Firma mint Medical GmbH, Heidelberg das radiologische Netzwerk RACOON gegründet.

Bessere Erkenntnisse mit KI

Ziel des bundesweiten Netzwerkes ist es, die Datengrundlage zur Erforschung von COVID-19 sowie anderen vergleichbaren Lungenerkrankungen aufzubauen und voranzutreiben. Die gewonnenen Daten sollen zur Weiterentwicklung Künstlicher Intelligenz (KI) verwendet werden. Durch KI-basierte Auswertung der Bildbefunde können schnell umfassende Erkenntnisse gewonnen werden, die zur Bekämpfung der Pandemie und zur bestmöglichen Versorgung von COVID-19-Erkrankten beitragen. Sie stellen zudem eine Basis für Lageeinschätzungen, zur Erstellung von Frühwarnmechanismen und für epidemiologische Studien dar.

Im Fokus eigener Forschungsprojekte im RACOON Netzwerk steht am Universitätsklinikum Ulm die Entwicklung und klinische Überprüfung KI-basierter Prädiktionsmodelle für den klinischen Verlauf einer COVID-19 Erkrankung. „Auf dem Röntgenbild wie dem CT-Bild wird die Infektion sichtbar. Im CT-Bild zeigen sich typischerweise sogenannte milchglasartige Veränderung beider Lungenflügel“, erklärt Professor Meinrad Beer, Ärztlicher Direktor der Klinik für Diagnostische und Interventionelle Radiologie am Universitätsklinikum Ulm. „Die KI wird nun so trainiert, dass sie erkennt wie schwer die Infektion ist und welcher Teil der Lunge befallen ist. Die hierdurch gewonnenen Erkenntnisse stellen einen wichtigen Beitrag zur Optimierung der Therapie von Covid-19-Patient*innen dar“, ergänzt der Radiologe.

Das könnte Dich auch interessieren

29.10.2025 Neues 3R-Zentrum an der Uni Ulm soll Tierversuche reduzieren 3R steht für Replace, Reduce, Refine – also Tierversuche ersetzen, reduzieren und die Bedingungen bei unvermeidbaren Versuchen verbessern. Das neue Zentrum in Ulm baut auf langjähriger Forschung zur Optimierung von Tierversuchen auf. Eine Biobank zum Austausch von tierischem Gewebe soll künftig helfen, die Zahl der Tierversuche weiter zu senken. Noch geht es nicht ganz ohne 13.08.2025 Uni Ulm erforscht Lebensräume in Panama Die Untersuchung zeigt, wie Abholzung und Landwirtschaft die Biodiversität in den Regenwäldern bedrohen. Aber auch das Infektionsrisiko mit der Chagas-Krankheit steigt, die sowohl Tieren als auch Menschen schadet. Wildtierökologen analysierten mehr als 800 Kleinsäuger rund um den Panama-Kanal und stellten fest, dass menschliches Eingreifen die Zusammensetzung von Wildtiergemeinschaften verändert und die Infektionsrate dort steigt. Verlust 28.10.2025 Ulm: Forschungsprojekt zur seelischen Gesundheit für Einsatzkräfte startet In Ulm läuft das Forschungsprojekt BEAT an. Es soll nicht nur den Einsatzkräften beim Umgang mit traumatischen Ereignissen helfen, sondern auch präventive Arbeit leisten. Psychische Gesundheit der Rettungskräfte im Fokus BEAT soll Strategien entwickeln, die die Verarbeitung von psychischen Belastungen stärkt und damit die Einsatzfähigkeit der Rettungskräfte verlängert. Die ursprüngliche Idee dazu kam von Ulms 15.10.2025 Routine & Mindset: Gesund denken, glücklicher leben! Wie schaffen wir es, alte Denkmuster zu durchbrechen und Routinen zu verändern?